Bodrum Smile Makeover: Transform Your Smile with World-Class Dentistry
Bodrum Smile Makeover. When it comes to dental aesthetics, Bodrum has emerged as a leading destination for those seeking a high-quality Bodrum Smile Makeover. Combining advanced dental technology, highly skilled professionals, and a luxurious travel experience, Bodrum offers a comprehensive solution for achieving the perfect smile. This guide delves into why Bodrum is a premier destination for smile makeovers, what to expect during your treatment, and how it compares to other global destinations.

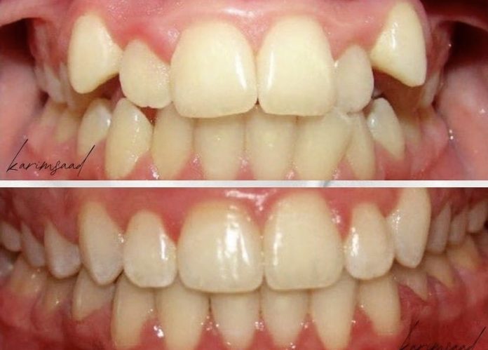
What is a Bodrum Smile Makeover?
A Bodrum Smile Makeover is a personalized cosmetic dental procedure designed to improve the appearance and function of your teeth. Whether you’re looking to fix misalignment, whiten your teeth, or replace missing teeth, the treatment incorporates a variety of advanced dental techniques such as:
- Teeth Whitening: Achieve a brighter, stain-free smile.
- Porcelain Veneers: Enhance the shape, size, and color of your teeth.
- Dental Implants: Replace missing teeth with natural-looking alternatives.
- Orthodontic Solutions: Straighten misaligned teeth with braces or Invisalign.
- Gum Contouring: Reshape your gum line for a balanced smile.
Bodrum’s clinics offer all these services with world-class expertise and cutting-edge technology.
Why Choose a Bodrum Smile Makeover?
1. Affordable Prices Without Compromising Quality
Dental treatments in Bodrum are significantly more affordable compared to Europe, the UK, or the US. The cost savings can reach up to 70%, making a Bodrum Smile Makeover accessible to a wider audience.
2. Highly Qualified Professionals
Dentists in Bodrum are trained to international standards, often with qualifications from prestigious universities and specialized training in cosmetic dentistry. Clinics in Bodrum employ state-of-the-art equipment and follow strict hygiene protocols, ensuring top-tier treatment.
3. Luxurious Experience
Bodrum is not just about dental treatments. It’s also a world-famous tourist destination. Patients can enjoy beautiful beaches, exquisite cuisine, and historical landmarks during their visit. Combining a Bodrum Smile Makeover with a vacation ensures a stress-free and rejuvenating experience.
4. Comprehensive Packages
Most clinics in Bodrum offer all-inclusive packages that cover consultation, treatment, accommodation, and even transportation. This hassle-free approach makes it easier for international patients to plan their dental journey.
How Does a Bodrum Smile Makeover Compare to the UK and Europe?
Cost Comparison
A single veneer in the UK can cost between £500 and £1,200, whereas in Bodrum, the same procedure costs between £150 and £300. Similarly, dental implants in Europe can cost upwards of €3,000, but in Bodrum, they range from €800 to €1,200, without compromising quality.
Technology and Expertise
Clinics in Bodrum are equipped with advanced diagnostic tools such as 3D imaging, laser dentistry, and digital smile design software. These technologies ensure precision and provide patients with a clear understanding of their treatment plans. The expertise of Bodrum’s dentists rivals that of any European or UK clinic.
Wait Times
In the UK, patients often face long waiting lists for dental procedures, especially in the public healthcare system. In Bodrum, appointments are available quickly, allowing patients to complete their Bodrum Smile Makeover without delays.
Step-by-Step Process of a Bodrum Smile Makeover
- Initial Consultation
The journey begins with an online consultation where you share your dental history and smile goals. Clinics in Bodrum offer virtual consultations to save you time. - Travel Arrangements
Once you book your treatment, clinics provide detailed guidance on travel and accommodation. Many offer package deals that include airport transfers and hotel stays. - Comprehensive Examination
Upon arrival, you’ll undergo a detailed dental examination using advanced tools like 3D imaging and X-rays. This step ensures an accurate diagnosis and personalized treatment plan. - Treatment Plan
Based on your goals, the dentist will recommend procedures such as veneers, implants, or whitening. You’ll receive a clear timeline and cost breakdown. - Procedure Day
Most treatments are completed within 1-3 days. For example, veneers can be prepared and fitted within two visits, while implants may require a few months for healing if bone grafting is involved. - Aftercare and Follow-Up
After the procedure, you’ll receive detailed instructions for maintaining your new smile. Clinics in Bodrum offer ongoing support via online consultations, ensuring long-term success.
Top Clinics Offering Bodrum Smile Makeover
Here are some of the best clinics specializing in Bodrum Smile Makeover:
- Bodrum Dental Center
- Address: Atatürk Caddesi, Bodrum
- Phone: +90 555 123 4567
- Website: www.bodrumdentalcenter.com
- Smile Bodrum Clinic
- Address: Marina Plaza, Bodrum
- Phone: +90 532 987 6543
- Website: www.smilebodrum.com
- Aesthetic Dental Studio
- Address: Gümbet Mahallesi, Bodrum
- Phone: +90 252 987 6543
- Website: www.aestheticdentalbodrum.com
- Luxury Smile Clinic
- Address: Yalıkavak Marina, Bodrum
- Phone: +90 252 123 9876
- Website: www.luxurysmilebodrum.com
FAQs About Bodrum Smile Makeover
1. How Long Does a Bodrum Smile Makeover Take?
Most procedures can be completed within a week. However, treatments like implants may require multiple visits over a few months.
2. Is a Bodrum Smile Makeover Painful?
Modern dental techniques minimize discomfort. Local anesthesia is used during procedures, and aftercare instructions help manage any post-treatment sensitivity.
3. Can I Combine a Smile Makeover with a Vacation?
Absolutely! Many patients schedule leisure activities before or after their dental treatments to enjoy Bodrum’s scenic beauty and rich culture.
Why Winter is the Best Time for a Bodrum Smile Makeover
Winter months in Bodrum are less crowded, offering a serene environment for recovery. Additionally, flights and accommodations are more affordable, making your Bodrum Smile Makeover even more cost-effective.
Bodrum Smile Makeover
A Bodrum Smile Makeover combines world-class dental care with an unforgettable travel experience. Whether you’re looking to enhance your smile or restore dental functionality, Bodrum offers unparalleled quality at an affordable price. With luxurious packages, highly qualified professionals, and the charm of a coastal paradise, Bodrum is the ultimate destination for transforming your smile.




